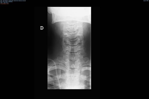
Aquí os coloco unas radiografías de cuello, me las han realizado por constracturas continuas y con dolor intenso.
Me han pedido unas radiografías en base a constracturas muy continuas y de larga duración desde hace como dos años, el asunto es que cada vez son más continuas. Tengo cita con mi médico de cabecera pero con todo este tema de covid van las cosas muy muy lentas.
¿Ustedes ven algo que justifique lo que me ocurre?

