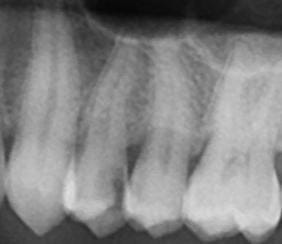
Busco el consejo de un especialista que me confirme la indicación de endodoncia en vista de la prueba que aporto
Busco el consejo de un especialista que me confirme la indicación de endodoncia en vista de la prueba que aporto.
También, cuál sería la mejor manera de reconstruir la pieza, con o sin la realización de tratamiento de conductos; en particular, una alternativa al tratamiento habitual de perno y corona que teóricamente es eficaz en la protección de la pieza desvitalizada.
Desde mi punto de vista, no se aprecian los límites de la cámara pulpar, bien por la limitación 2D o por otro motivo. ¿Habría distancia de seguridad entre la reconstrucción y la pulpa para evitar daños posteriores?
Gracias

1 Respuesta
Respuesta de OSCAR NUNEZ
