victor hugo quispe

victor hugo quispe

 Perú @brabovictor desde - visto
Preguntar

Preguntas

¿Qué debo hacer si tengo actitud escoliotica?

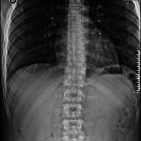
Hola comunidad tengo 18 años y hoy fui a mi traumatólogo y luego de haberme sacado una radiografía dorso lumbar de mi columna la cual adjunto en este link: Mi traumatólogo diagnosticó que no tengo escoliosis pero sí una pequeña desviación de 5.58...
Sin respuestas

¿Qué debo hacer si tengo actitud escoliotica?

Me llamo víctor tengo 18 años y hoy fui a mi traumatólogo y luego de haberme sacado una radiografía dorso lumbar de mi columna la cual adjunto en este link: Mi traumatólogo diagnosticó que no tenía escoliosis pero sí una pequeña desviación de 5.58...

Suscríbete RSS