Pregunta en
Lesiones traumáticas
Quería saber, cuál es tu opinión de esta radiografía de una fractura de escafoides que he sufrido?
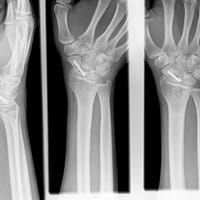
Pregunta en
Lesiones traumáticas
Cual es vuestra opinión de esta radiografía de una fractura de escafoides que he sufrido?
En Enero me han operado de una fractura de escafoides del polo proximal con un tornillo y un injerto de hueso. El caso es que mi traumatólogo insiste en esperar a ver como evoluciona el hueso hasta Agosto y el médico privado, me ha dicho que me...
Sin respuestas
Pregunta en
Urología
Fistula uretrocutaneas, cierran solas?
Hola me han operado de Hipospadias glandular y a los 10 días, el día que me iban a quitar la sonda, me salió una fistula, hay algo que pueda hacer para que cierre sola?, ya que he leído en foros de gente que se le cerró presionando mientras orinaba,...
Pregunta en
Urología
Cuanto dura el postoperatorio hipospadia
Hola quería hacerle una pregunta a alguien que le hayan operado de hipospadia, el caso es que me van a operar de hipospadia de grado 1 la que es en el glande, y con ello una operación de fimosis. Mi pregunta es, ¿Como va a ser el postoperatorio de...
Sin respuestas
Pregunta en
Urología
Postoperatorio hipospadia leve (glande)
Hola tengo 22 años quería saber como puede ser el postoperatorio de una hipospadia de leve 1 la que es en el glande, no tengo que orinar sentado ni nada, lo hago por estética, como será el postoperatorio? Me refiero a tiempo de recuperación, si el...
Sin respuestas
Pregunta en
VIH
VIH débilmente positivo
Hola, en Agosto mantuve una relación sin protección, al cabo de 3 semanas se me inflamaron las anginas y tuve fiebre durante un día y dolor de ojos durante una semana, a las dos semanas siguientes mi madre me notó los ganglios del cuello...
Pregunta en
VIH
Por los síntomas tengo el SIDA
Llevo un tiempo con los ganglios del cuello inflamados, como 1 pelota por cada lado detrás de las orejas.. Mantuve una relación sexual SIN PROTECCIÓN hace cosa de más de un mes, a las dos semanas se me inflamaron las admigalas, y tuve fiebre, y al...
Pregunta en
VIH
Hola por los síntomas puedo tener el SIDA
Llevo un tiempo con los ganglios del cuello inflamados, como 1 pelota por cada lado detrás de las orejas.. Mantuve una relación sexual SIN PROTECCIÓN hace cosa de más de un mes, a las dos semanas se me inflamaron las admigalas, y tuve fiebre, y al...
12 preguntas no visibles
