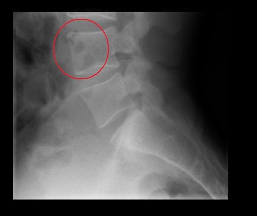
Radiografía normal ? Manchas negras que son ?
Resulta que estoy un poco inquieto y preocupado debido a que me mandaron a sacar unos rayos X lumbares pero revisándolos observe esas manchas negras en una vertebra, al parecer y por lo que he visto en varios lados es aire o burbujas de gas, quisiera que me sacaran de dudas porque estoy muy preocupado, ¿algún experto en interpretación de radios equis podría orientarme?
