¿Es aconsejable extraer caninos superiores impactados?
Tengo 25 años y mis colmillos superiores (permanentes) nunca erupcionaron, aun tengo los colmillos superiores temporales en un estado regular, sin embargo fui a ver a un ortodoncista para encontrar una solución.
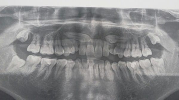
El ortodoncista me pidió que me realizara una radiografía panorámica, donde se dio cuenta que los caninos se hallan impactados en el hueso, y están en una posición totalmente horizontal (acostados), con el tiempo también se movieron de lugar, ya que prácticamente están ubicados arriba de los incisivos (entre los incisivos centrales y laterales, cada uno ) .
Debido a esta posición, el ortodoncista, temía que los colmillos impactados hubieran dañado las raíces de los incisivos, así que me pidió una tomografía maxilar 3D.
Después de reunir las radiografías y la tomografía, me propuso el siguiente plan de trabajo (considerando que en su opinión, no seria posible bajar los caninos retenidos a su posicion):
1.-Extraer con cirugía los colmillos permanentes impactados y también los colmillos temporales.
2.- Con el aparato de ortodoncia recorrer mis dientes para cerrar el espacio de los colmillos.
De manera general me parece una solución practica, pues tampoco me gustaría usar prótesis, sin embargo he leído que la extracción de los caninos, en algunos casos puede afectar radicalmente la forma del rostro, o que hacer parecer de mas edad.
Por eso tengo dudas sobre el plan de trabajo propuesto,
Si es posible recorrer todos los dientes para cerrar el espacio de los colmillos ¿No podría ser factible recorrer los colmillos impactados a su lugar con la ortodoncia?
Si decido seguir el plan de mi ortodoncista ¿Esto deformara o afectara la posición de mi ¨mordida¨?
Al no tener colmillos ¿afectaría drasticamente mi apariencia?
De antemano gracias por su respuesta.
(Aquí mi radiografía)

